Mitral Valve Endocarditis Atrial Fibrillation
Author: Kirsten Freeman, MD
Institution: University of Florida
Date Reviewed: July 2022
Original Case: Nahush Mokadam, MD; Edward Verrier, MD; University of Washington
Learning Domain: Adult Cardiac Surgery
Learning Objective: Heart Valve Endocarditis; Atrial Fibrillation
PowerPoint File:
2022 MV_Endocarditis_AF - Updated.pptx
Presentation
39-year-old Male 10-year history of Mitral Valve Prolapse:
- Increasing SOB / DOE
- Now with Severe MR
- History of Palpitation
- Recent fever / chills / sweats after dental cleaning
- Positive blood cultures
- Gram positive cocci
Past Medical History:
- GERD / PUD
- Chronic back pain
- 6 Pack yr smoking hx, Social alcohol
History and Exam
Pertinent Physical Exam
- 6’ 8” male
- Heart rate regular 70, BP 137 / 72 mm Hg Wt 133 kg
- Grade V / VI holo-systolic murmur to axilla
- Lungs clear
PMH
- Hyperlipidemia
- Mild Hypertension
- Mild GERD
- Hip arthritis
Medications
- Niacin
- Voltaren
- Flexeril
- Glucosamine / MVI
- Omeprazole
- IV Vancomycin
Labs
- Hct 37%, WBC 6.05
- Platelets: 245,000
- Normal Coags
- Normal LFT’s
- Na 134, K 3.8, Cl 100, HCO3 24, BUN 18, Cr 1.1
Electrocardiogram

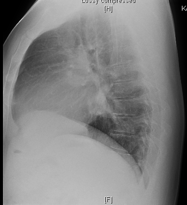
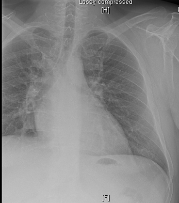
Chest X-Ray

Electrocardiogram Clips
Discussion Points for Conference
- Underlying myxomatous mitral valve disease / Recent onset of Atrial fibrillation
- New onset of Gram-positive endocarditis
- New vegetation
- Strep Viridans
- Timing of Surgery
- Duration of Antibiotics
- Indications for Maze procedure
- Potential for Repair vs Replacement with endocarditis
Surgery
- Mitral Valve :
- Triangular Resection P2
- #36 Annuloplasty Ring
- Cox Maze IV procedure (both right and left)
- Radiofrequency plus cryoablation
- Extubated POD #1 afternoon
- Discharge POD #7
- Atrial Fib post op, converted with amiodarone
- Doing well at 6 months
2020 ACC/AHA Valve Guidelines





https://www.ahajournals.org/doi/10.1161/CIR.0000000000000923
Learning Points
- Mitral Valve Endocarditis presents with wide spectrum of pathology
- Therapy and timing of intervention must be individualized based on presentation and symptoms
- MV Repair is still feasible in many cases
- Indications for Maze:
- Recent onset, paroxysmal, small LA
- Long term prognosis probably related to recurrence of infection and reliability of patient
